如何理解MRI图像权重和组织对比度变化
原文链接:https://mp.weixin.qq.com/s/55HXbG74uCpqGdnD814puw
磁共振成像是多参数成像,相比X射线的单参数成像,具有对比度灵活的特点,即可以出现对比度逆转,且只需要稍微调节某个参数值即可实现。最典型的是在T1加权像上,脂肪比水亮,但在T2加权像上,水比脂肪亮。为什么会出现这种灵活调节呢?原因是不同弛豫时间的组织在不同参数的成像序列下,其信号幅度是变化的。本文以基本SE序列为例,基于数值计算技术,通过图示的方式,进行直观描述。
一、基本SE成像序列
图1为基本SE序列示意图。基本序列名称和序列解释不再赘述。
图1 基本SE序列示意图
回波信号的产生过程如图2所示。原理略过,由前文可知,信号是宏观横向磁化矢量的在接收线圈中的感应,因此信号也体现出逐步增加至峰值后再逐步衰减的包络,即回波信号,可看成是两个FID信号背靠背组合而成的。但在TE时间内,由于内因(自旋-自旋局部小磁场)影响而导致的散相是无法被180度进行重聚的。因此重聚时的横向宏观磁化矢量要比90度结束翻转到y轴的横向宏观磁化矢量要小,所以TE时间越长,回波信号幅值越小,遵循T2指数的衰减规律:exp(-TE/T2)。
图2 回波信号产生的过程示意图
对2D成像,要重复采集多次回波信号才能填满k空间。每次回波信号采集为一个周期,即为90度射频到下一次90度之间的时间间隔,称为TR。TR期间, T1弛豫进行,其产生的静态纵向磁化矢量,将被下一周期的90度射频翻转到y轴,作为信号初值。因此TR越长时,弛豫的纵向磁化矢量越大,后续被采集到的信号幅值也将越大,遵循T1指数的增加规律:1-exp(-TR/T1)。
二、TR/TE参数与不同组织回波信号的幅度关系图示
根据上述回波信号的产生过程描述,将TR期间的T1弛豫和TE期间的T2弛豫组合起来,数值计算得到两种组织的回波信号幅度与TR和TE的关系,如图3所示为。红色线表示脂肪,具有短T1和中等T2;绿色线表示水,具有长T1和长T2。两次90度之间的时间间隔为TR。90度与回波峰值时刻的时间为TE,180度施加在TE/2处。纵坐标反映的是磁化矢量的差异,也就是最终两种组织的采集信号幅度差异。差异越大,表示两种组织的对比越强,即组织区分度越高。
图3 两种组织的回波信号幅度与TR和TE的关系
有同学问:线圈不是只能采集横向磁化矢量,纵向磁化矢量的差异为什么可以影响信号幅值和图像权重呢?原因是:90度初始时刻的纵向磁化矢量大小,是90度结束时刻横向磁化矢量的初始值,进而影响后期的回波信号幅值。图3所示的时间组合中,TR=300ms,TE=100ms。由数值计算效果可知,90度时刻,经过300ms的T1弛豫,脂肪和水的纵向磁化矢量差异较大,比值约为0.98:0.65。但经过100ms的T2弛豫后,脂肪比水信号稍强,对比仅0.68:0.6。为便于显示,本计算采用脂肪的T1和T2分别为:80ms和280ms;水的T1和T2分别为280ms和1000ms。如果保持TR不变,增加TE=145ms,数值计算显示,脂肪和水的回波信号幅值完全相等,对应到图像上将出现油水等亮的效果,图4所示。
图4 TR=300ms,TE=145ms时,脂肪和水信号幅值相同,图像上等亮
同理,如果保持TR不变,增加TE=200ms,数值计算显示,脂肪和水的回波信号幅值将逆转,水的信号反而略高,对应到图像上将出现水比脂肪稍亮的效果,图5所示。当然这种参数组合在临床极少得到应用,因为对比不高,同时信噪比很差,没有价值。
图5 TE=200ms,脂肪和水的信号逆转,水信号略高,对应到图像上水比脂肪稍亮
三、TE时间对T2对比度的影响规律
综上可知,随意调整TR或TE,可以灵活的调整两种组织的信号对比度,甚至出现对比度逆转。为了单独说明TE对组织T2的对比度影响规律,可将TR设置到两种组织都充分T1弛豫的条件下,调节TE,观察T2的对比变化。两种组织的T1分别为80ms和280ms,因此设置TR=1000ms时,脂肪和水都T1弛豫完善。分别调节TE为30ms,100ms和300ms时,脂肪和水信号幅度差异(对比度)及信噪比分析,分别如图6a-c所示。图7给出了图像仿真效果。
图6 TR很长时,TE对T2权重的影响规律(TE越长,T2权重越大)
图7 TR=10500ms,TE从10~900ms图像对比度和信噪比变化仿真效果
-
四、TR时间对T1对比度的影响规律
同理,为了单独说明TR对组织T1的对比度,可将TE设置到两种组织的T2弛豫对比度很小的条件下(即TE尽量短),然后调节TR,观察T1的对比度变化。两种组织的T2分别为280ms和1000ms,因此设置TE=30ms时,脂肪和水都T1弛豫完善。分别调节TR为100ms,100ms和300ms时,脂肪和水信号幅度差异(对比度)及信噪比分析,分别如图8a-c所示。(备注:注意横坐标的范围差异)。图9给出了图像仿真效果。
图8 TE很短时,TR对T1权重的影响规律(TR越短,T1权重越大)
图9 TE=10ms,TR从20~8000ms的图像对比度和信噪比变化仿真效果
五、TR和TE组合与权重图像
根据上述TR对T1权重和TE对T2权重的影响规律,按照TR/TE时间长短,一共有四种组合:
1) 短TR-短TE组合:短TR,T1权重大,短TE,T2权重小,因此图像综合体现为T1权重更大,即T1WI。如图8a所示,脂肪和水的信号差异主要是由T1的差异所形成的。
2) 长TR-长TE组合:长TR,T1权重小,长TE,T2权重大,因此图像综合体现为T2权重更大,即T2WI。如图6c所示,脂肪和水的信号差异主要是由T2的差异所形成的。
3) 长TR-短TE组合:长TR,T1权重小,短TE,T2权重小,图像既不能很好体现T1对比,又不能很好体现T2对比,因此图像对比由组织的质子密度决定,即PdWI。如图6a和8c所示,脂肪和水的信号差异主要反映了组织本身的质子密度差异。
4) 短TR长TE组合:短TR,T1权重大,长TE,T2权重大,表面上T1和T2权重都大,但权重是此消彼长的,最终权重无法确定。关键是短TR和长TE都使信号降低,最终信噪比极低。信噪比是图像的基础,因此该参数组合无实用价值。如图4和图5所示。
对SE序列,TR/TE组合对最终图像的权重确定规律,综合如下表。
六、权重图像的通俗理解
某种权重图像指该图像中,两种组织的像素灰度差异主要反映了组织的某种物理参数的差异,或者说图像的灰度差异主要是由组织间的某种物理属性差异所决定的。比如T1WI图像,图像中不同组织的像素灰度差异主要反应了组织间的T1弛豫差异。换句话说,如果两种组织具有较大的T1差异,那么在T1WI图像上,两种组织的亮度差异也越大。其他T2WI和PdWI的道理相同。需要说明的是,任何一副图像,T1、T2和Pd的权重都是存在的,三者权重之和为100%。哪种权重占优,就称为何种权重像,比如T1权重50%,T2权重30%,Pd权重20%,那么该图像就称为是T1权重像。如果T1的占比越高,那么图像的T1权重越大,可称其为重度T1权重像。需要说明的是,100%的某种权重像是难以直接采集成像的。100%的权重像其实就是组织定量成像,直接得到某种物理属性值的空间分布图。定量成像是需要采集多幅权重图像,通过拟合计算得到每个体素的T1、T2或Pd值,进而显示为图像。DWI是扩散系数权重像,其中也包含了T1、T2、Pd等权重,但通过不同b值的DWI图像,消除T1、T2、Pd等影响,可以计算得到ADC图像,就是100%的扩散系数图像,即为扩散系数D的定量成像。
七、权重图像中的组织亮度和信噪比
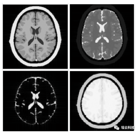
T1权重像上,T1越短的组织越亮,T1越长的组织越暗。脂肪具有短T1,水具有长T1,所以在T1权重像上,脂肪高亮而水体呈现出类似背景的暗黑。T1权重越大,图像信噪比越低。T2权重像上,T2越短的组织越暗,T2越长的组织越亮。脂肪具有中等T2,水具有长T2,所以在T2权重像上,脂肪灰暗而水体高亮。T2权重越大,图像信噪比越低。Pd权重像上,组织的亮度由组织质子密度决定。脂肪和水的质子密度相差不大,很多软组织比如白质和灰质的质子密度和水也差不多。所以质子密度像上,组织的亮度差异很小,但Pd像具有极高的信噪比。综上可知,图像对比度和信噪比也是矛盾的,与信噪比作为矛盾统一体的还有空间分辨率。图10分别是T1WI、T2WI和超重T2权重的水成像以及PdWI的仿真图像效果。水成像上,除了水体是亮的,其余所有组织都是暗的。
图10 T1WI、T2WI和超重T2权重的水成像以及PdWI的仿真图像效果
- 上一篇:培云科技深度参与的“医学影像技术专业校企合作协同育人创新模式”荣获中国高等教育博览会典型案例 [2022-08-08]
- 下一篇:DR原理与技术仿真探究性实验案例 [2022-06-30]


